北京索莱宝科技有限公司
新闻中心
公司动态

靶点星选第一期|核内参Histone H3.1

发表时间:2025-11-14

靶点介绍

组蛋白H3.1(Histone H3.1)是真核细胞中核心组蛋白H3家族的一个重要成员,其表达与细胞周期同步,对DNA复制和细胞增殖至关重要。此外,它的N末端尾部可发生多种表观遗传修饰(如甲基化、乙酰化),这些修饰共同构成“组蛋白密码”,精密调控基因的转录表达状态,在维持基因组结构和表观遗传信息传递中起核心作用它不仅是染色质结构和功能的核心组成部分,更因其在表观遗传调控中的关键作用而成为疾病治疗,尤其是癌症治疗领域的重要靶标。

Histone H3.1作为内参抗体适用于研究终末分化细胞或处理不影响细胞增殖的实验,因其在所有有核细胞中具有丰富且稳定的基础表达;然而,它不能用于细胞周期、增殖或DNA复制相关的研究,因为其表达量与S期同步,在这些条件下会发生显著波动,导致结果失真。

 

蛋白分子量

Histone H3.1蛋白质的标准序列136个氨基酸,理论分子量约15kDa,实际蛋白分子量约15~17kDa。

 

亚细胞定位

主要定位于细胞核。

 

组织分布

Histone H3.1作为一种复制依赖型的核心组蛋白,其组织分布特征与其功能直接相关,它主要高表达于具有活跃细胞增殖能力的组织和细胞中,例如骨髓、肠道上皮隐窝细胞、皮肤基底层、生发中心的淋巴细胞以及所有类型的恶性肿瘤组织。

 

数据库链接分享

产品亮点

索莱宝开发的组蛋白H3.1抗体具有良好的物种交叉反应性和优异的特异性,适用于多种样本类型与研究场景。Histone H3.1不仅能高效识别人、小鼠及大鼠样本中的LMNB1蛋白,还可与猴、斑马鱼、兔、猪、鸡及小麦等其他物种的对应蛋白发生交叉反应,显示出广泛的适用性。

此外,部分Histone H3.1抗体已通过WB、IHC、IF、IP、FCM及ELISA等多种免疫学实验验证,在不同实验体系中均表现出稳定性高、信号清晰、特异性强等特点,能够满足在蛋白质表达定位、相互作用及功能研究中的多维度需求。

 

产品展示

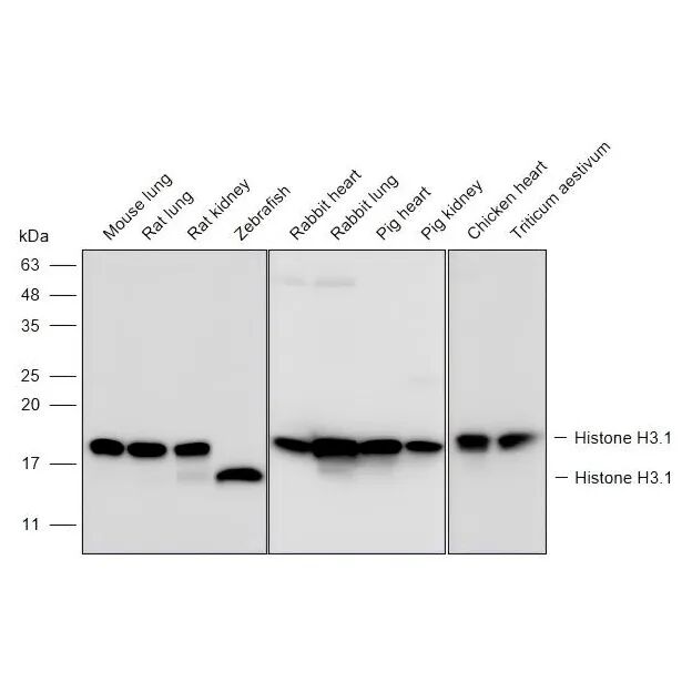
01  K200033M

ActivAb®Anti-Histone H3.1 Monoclonal Antibody

抗体类型:鼠单抗

验证图片:

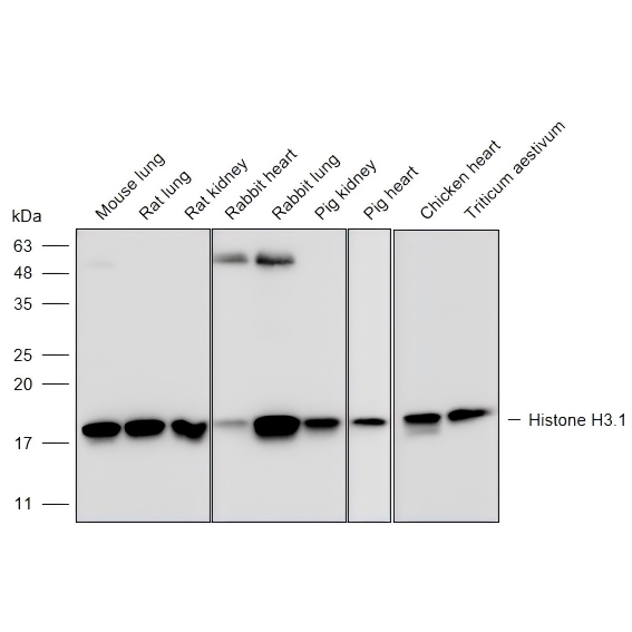
02  K200065M

ActivAb®Anti-Histone H3.1 Monoclonal Antibody

抗体类型:鼠单抗

验证图片:

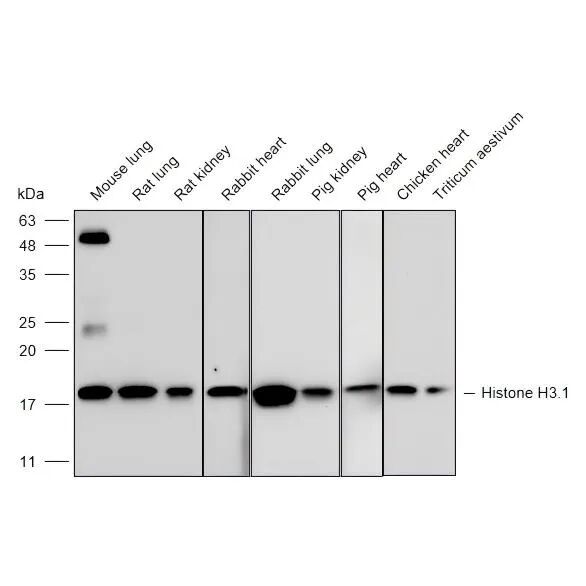
03  K011742RR

ActivAb®Anti-Histone H3.1 Monoclonal Antibody

抗体类型:重组兔单抗

验证图片:

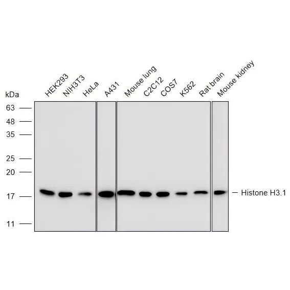
04  K106623P

ActivAb®Anti-Histone H3.1 Polyclonal Antibody

抗体类型:兔多抗

验证图片:

相关产品

部分引用文献

联系方式
手机:17801761073微信同号
Q Q:
微信扫一扫