北京索莱宝科技有限公司
新闻中心
公司动态

花香蝶自来|Solarbio小分子化合物“优秀员工展”第二十三期

发表时间:2026-01-20

Solarbio作为一家小分子化合物供应商,其产品的安全性和有效性已经被大量文献证实,仅2025年SCI发表文献中,使用索莱宝产品的文献约15000篇,在Nature、Cell等刊物上的文章也层出不穷。同时,我们提供详尽的化学信息和生物学信息,并提供说明书、MSDS、质量报告等文件,旨在打造令客户满意的放心平台。

Solarbio小分子化合物系列产品已推出了数年,期间不少产品被用户频繁的订购,并发表了不错的文章,也常有用户循着文献的痕迹找到Solarbio的产品进行采购使用。此后的“优秀员工展”会继续分享我们的畅销产品、明星产品,欢迎大家关注订阅~

 

优秀“员工”展

 

甘草素

CAT

IL0400

CAS

578-86-9

靶点

Estrogen Receptor

溶解度

Soluble in DMSO

生物

活性

Liquiritigenin是一种高度选择性的雌激素受体β (ERβ) 激动剂。

应用案例

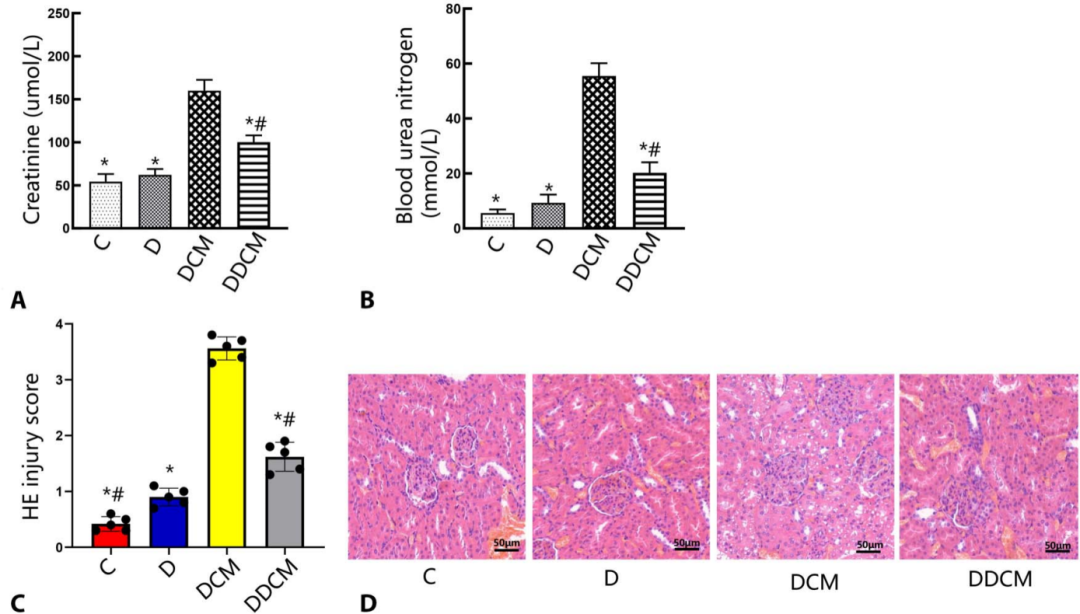
Li X, et al. Heliyon. 2023 Mar 9;9(3):e14353.

 

L-精氨酸

CAT

IA0480

CAS

74-79-3

靶点

Others

溶解度

Soluble in Water ≥10mg/mL

生物

活性

是合成一氧化氮的氮供体,可用于血管扩张剂方向的研究。

应用案例

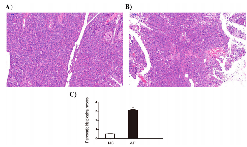
Wang XD, Yu WL, Sun Y. Life Sci. 2021 Jul 15;277:119435.

 

吲哚美辛

CAT

II0100

CAS

53-86-1

靶点

COX

溶解度

Soluble in DMSO ≥20mg/mL

生物

活性

Indomethacin是一种有效的,非选择性的 COX1 和 COX2 抑制剂。

应用案例

Huang X, et al. J Cardiovasc Pharmacol. 2022 Jun 1;

79(6):904-913.

 

4-苯基丁.酸

CAT

IP5000

CAS

1821-12-1

靶点

HDAC;ER Stress inhibitor

溶解度

Soluble in DMSO ≥ 200mg/mL

生物

活性

是一种组蛋白去乙酰化酶 (HDAC) 和内质网应激 (ER) 抑制剂。

应用案例

Li H, et al. Stem Cell Res Ther. 2020 Jun 3;11(1):215.

 

关于我们

Solarbio作为一家小分子化合物供应商,不仅拥有数千种可以满足体内外实验的纯度要求的小分子抑制剂&激活剂&拮抗剂系列;同时,还包含高活性的多肽&蛋白&抗原抗体系列,高效价的抗生素系列,高纯度的染料&探针和高品质的辅料系列(助溶剂&增溶剂、氨基酸&维生素&糖类、反应底物&理化检测),旨在搭建科研试剂一站式平台,以满足不同科研党的实验需求。

“高质量、高纯度、高重复性”

Solarbio小分子化合物均已通过NMR和HPLC验证,具有较高的药用活性和良好得的细胞渗透性等优点。

“种类全、覆盖广、发货快”

目前已有数千产品、万余规格,涵盖上百种通路靶点。同时在全国设立了多个仓库,以保证第一时间响应客户的需求。

“更新快、资料全”

Solarbio一直定期查访新的研究和客户反馈,及时更新、丰富产品信息,以确保提供最全面的试剂和最丰富的数据支持。

“安全有效”

Solarbio小分子化合物的安全性和有效性已经被大量文献证实,客户可以随时联系店铺客户了解对应产品的文章发表情况。

联系方式
手机:17801761073微信同号
Q Q:
微信扫一扫